一竞技

English 一竞技集团企业邮箱

第八节 烧伤湿性医疗手艺面部Ⅲ度烧伤的临床治疗历程

作者:中国中西医团结学会烧伤专业委员会 出书社:中国医药科技出书社 刊行日期:2000年6月

         

5-8-1 伤后体现: 面部火焰烧伤 ,无痛觉 ,无渗透 

          
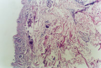
5-8-2 组织学检查为全厚皮坏死 

          
5-8-3 使用耕作刀 ,对烧伤皮肤举行耕作减张

           
5-8-4 耕作后 ,直接涂用MEBO ,接纳湿润袒露疗法 

          
5-8-5 伤后第2天 ,将外貌的MEBO整理清洁 ,再举行第二次耕作 ,继续接纳MEBT疗法 

         
5-8-6 伤后第12天 ,MEBT/MEBO使坏死皮肤液化的体现

         
5-8-7 伤后第18天 ,坏死皮肤液化扫除 ,皮下组织再生皮肤 

         
5-8-8 伤后第27天 ,部分创面皮肤完全再生愈合 ,部分创面仍在愈合中 

         
5-8-9 伤后第50天 ,创面愈合 ,皮肤心理再生

网站地图